左中肺野外带可疑病灶(左中肺野外带可疑病灶严重吗)
发布:2024-07-13 02:14:45 85
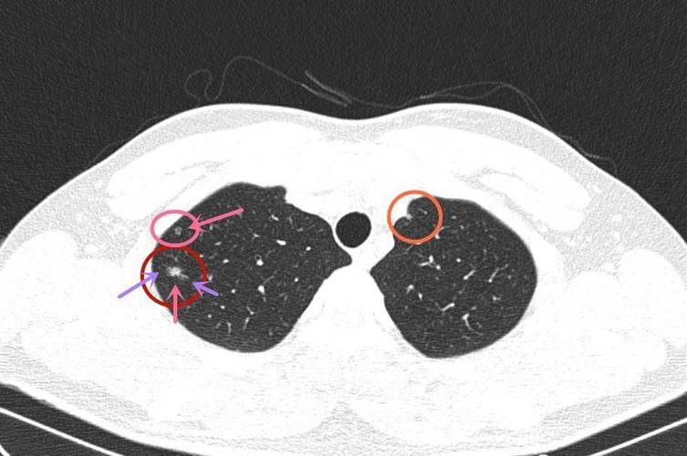
左中肺野外带可疑病灶
1、看不到图像,以你这个年龄,结核菌感染导致的硬结性病灶最为多见。良性的可能性很大,你只要随诊就可以了。
2、左肺,就是你左手那一边的肺,出现了一个病灶,病灶可以理解为发病的某一块组织。纤维化病灶,就是指这个病灶已经出现了纤维化的改变。在肉眼看来,正常的肺组织是疏松柔软有孔的,纤维化了之后,就会变硬,变得更实质化。
3、意思就是左肺下叶有个病灶但是无法确定是不是炎症导致的,建议先用抗生素治疗一段时间,等到炎症消退后再重新拍片,才能分辩出来是不是真正有肿物~我的建议是最好结合血常规检查。
左肺下叶病灶.炎性实质可能建议抗炎后复查除外周围型肺癌.纵隔淋巴结...
1、你好,你目前主要是由于肺部感染炎症导致的不适。不是很严重。你好,坚持抗炎治疗,注意休息以及以及。不用过于担心了。

2、左肺下叶外侧段结节影增强扫描后病灶未见明显强化,病灶界限清楚。余肺实质未见明显渗出或占位性病变。两肺门无增大,气管及诸支气管通畅。双肺门及纵隔未见肿大淋巴结。双侧胸腔未见明显异常。心影未见明显异常。肝脏密度减低。
3、您好,您描述的情况考虑左肺周围型肺癌,纵隔淋巴结转移,合并心包积液的表现。肺癌患者一般会出现咳嗽、咳血、胸闷、胸痛、消瘦等等症状。中晚期肿瘤侵犯到胸膜,会出现上肢及肩部以上浮肿、静脉怒张、头痛、呼吸困难等。
4、你好,左肺癌伴肺内、纵膈淋巴结多发转移,病理类型不明,请做穿刺或气管镜活检,属于进展期的肺癌,不建议手术,立即放化疗。注:请做活检,病理结果才能确诊,才能指导下一步治疗。
5、肺癌转移到了淋巴结,不是早期了。癌症不论是不是手术过、放化疗过,都应该用上中药,中西医结合(一般早期可手术,晚期手术无价值)。大病真正应当中西医结合治疗,不要只用一种方法。
6、指导意见:一般来讲肺内炎性病变经过抗炎治疗,病灶会在两周左右的时间吸收消散.如果变化不明显甚至范围增大或出现其他的异常表现,那么我们就应该做进一步的检查,主要目的是排除癌变引起的阻塞性炎症.纤支镜,血沉,癌胚抗原测定。
你好有个问题像你请教下我去做CT显示左肺下叶及右肺中叶结节灶...

1、你好,建议以CT报告为准,因为CT是横断位扫查,他的定位比X线胸片精准得多,胸片中的描述有肺野,肺叶,肺段,而其中的肺野是比较模糊的定位,这个是需要CT进行协助定位的,可能结节位于中下交界区域。
2、肺不张、纵膈淋巴结肿大等,而你母亲没有相应的症状出现,肺癌本身是不会传染的。你妈妈的右肺中叶的小结节可能是钙化灶,也可能是陈旧性的病变。如果不放心可做CT增强确认一下,左下肺炎症可抗炎后复查。
3、不要紧,可能是一时炎症结节,及时抗炎治疗会消失。但如果过去从事过粉尘烟雾大的工作,要小心是矽肺病结节。感冒炎症不容易好,一拖就是个把月。
左肺这个是什么病症
1、如ouwan所说,代偿的意思实际上是机体对异常的一种补偿机制,比如左侧上肢截肢的人,经常用右手,右边的上肢就会比普通人要粗壮和灵活很多,是一种有利的弥补。

2、患者为中年女性。
3、左侧肺尖感染是指发生在人体肺部左侧上方的细菌性感染。这种疾病常常会引起发烧、咳嗽、胸痛等症状。通常情况下,左侧肺尖感染的原因是细菌感染,但也有可能是病毒或真菌感染。左侧肺尖感染是一种可以通过药物治疗的病症。
4、主要就是因为结核分支杆菌感染,各种病原菌会吞噬大量肺组织,最终导致肺形成一个大的空洞,而且还会在胸腔内形成大量胸腔积液,所以这名女子就是因为这个原因而导致出现这种疾病。
5、左肺结节形成因素较多,如空气污染、雾霾、汽车尾气、工业废气、抽烟等,均可以导致肺部出现结节。结节的CT影像表现区别于正常组织结节灶,通常可在体检中发现。
- 上一篇:delete什么意思中文翻译
- 下一篇:返回列表
相关推荐
- 07-13ceshi444
- 07-13投屏投影仪怎么用(投影仪投屏器使用方法)
- 07-13自动检测删除微信好友软件—自动检测删除微信好友软件免费
- 07-13win11平板键盘不自动弹出、win10平板模式键盘不出来
- 07-13电脑忽然严重掉帧
- 07-13只输入真实姓名找人抖音、只输入真实姓名找人抖音怎么弄
- 站长推荐
- 热门排行
-
1
最后的原始人腾讯版下载-最后的原始人腾讯版2023版v4.2.6
类别:休闲益智
11-18立即下载
-
2
坦克世界闪击战亚服下载-坦克世界闪击战亚服2023版v2.1.8
类别:实用软件
11-18立即下载
-
3
最后的原始人37版下载-最后的原始人37版免安装v5.8.2
类别:动作冒险
11-18立即下载
-
4
最后的原始人官方正版下载-最后的原始人官方正版免安装v4.3.5
类别:飞行射击
11-18立即下载
-
5
砰砰法师官方版下载-砰砰法师官方版苹果版v6.1.9
类别:动作冒险
11-18立即下载
-
6
最后的原始人2023最新版下载-最后的原始人2023最新版安卓版v3.5.3
类别:休闲益智
11-18立即下载
-
7
砰砰法师九游版下载-砰砰法师九游版电脑版v8.5.2
类别:角色扮演
11-18立即下载
-
8
最后的原始人九游版下载-最后的原始人九游版微信版v5.4.2
类别:模拟经营
11-18立即下载
-
9
汉家江湖满v版下载-汉家江湖满v版2023版v8.7.3
类别:棋牌游戏
11-18立即下载
- 推荐资讯
-
- 02-17ceshi444
- 11-18神魔大陆鱼竿在哪买(神魔大陆怀旧版)
- 11-21投屏投影仪怎么用(投影仪投屏器使用方法)
- 11-23侠盗飞车4自由城(侠盗飞车圣安地列斯秘籍)
- 11-23自动检测删除微信好友软件—自动检测删除微信好友软件免费
- 11-25战争机器v1.2修改器(战争机器5十一项修改器)
- 11-27防御阵型觉醒2攻略(防御阵型觉醒通关教程)
- 11-27斗战神新区赚钱攻略(斗战神新区开服表)
- 11-27win11平板键盘不自动弹出、win10平板模式键盘不出来
- 11-27电脑忽然严重掉帧
- 最近发表
-
- 战天下手游下载-战天下手游免安装v2.9.1
- 王者英雄之枪战传奇0.1折版下载-王者英雄之枪战传奇0.1折版老版本v7.2.6
- 僵尸逃亡大作战下载-僵尸逃亡大作战安卓版v6.3.6
- 天道只手遮天下载-天道只手遮天安卓版v2.4.7
- CSGO开箱模拟器手机版下载-CSGO开箱模拟器手机版免费版v6.9.4
- 大侠式人生重制版下载-大侠式人生重制版免安装v3.2.2
- 全民iwanna中文版下载-全民iwanna中文版最新版v5.7.6
- 点亮城市无限金币无限钻石2024下载-点亮城市无限金币无限钻石2024安卓版v6.5.4
- 全民iwanna手机版下载-全民iwanna手机版苹果版v5.8.2
- 梦幻魔法屋2024最新版下载-梦幻魔法屋2024最新版怀旧版v8.4.4








